Главная // Актуальные документы // ГОСТ (Государственный стандарт)
СПРАВКА
Источник публикации
М.: Стандартинформ, 2016
Примечание к документу
Текст данного документа приведен с учетом поправок, опубликованных в "ИУС", N 7, 2019; N 7, 2022.

Документ введен в действие с 01.01.2017.
Название документа
"ГОСТ 33539-2015. Межгосударственный стандарт. Карантин растений. Методы выявления и идентификации вируса T картофеля"
(введен в действие Приказом Росстандарта от 23.10.2015 N 1625-ст)

"ГОСТ 33539-2015. Межгосударственный стандарт. Карантин растений. Методы выявления и идентификации вируса T картофеля"
(введен в действие Приказом Росстандарта от 23.10.2015 N 1625-ст)


Содержание


Введен в действие
Приказом Федерального
агентства по техническому
регулированию и метрологии
от 23 октября 2015 г. N 1625-ст
МЕЖГОСУДАРСТВЕННЫЙ СТАНДАРТ
КАРАНТИН РАСТЕНИЙ
МЕТОДЫ ВЫЯВЛЕНИЯ И ИДЕНТИФИКАЦИИ ВИРУСА T КАРТОФЕЛЯ
Plant quarantine. Methods of detection
and identification of Potato virus T
ГОСТ 33539-2015
МКС 01.040.65
65.020.20
Дата введения
1 января 2017 года
Предисловие
Цели, основные принципы и основной порядок проведения работ по межгосударственной стандартизации установлены ГОСТ 1.0-92 "Межгосударственная система стандартизации. Основные положения" и ГОСТ 1.2-2009 "Межгосударственная система стандартизации. Стандарты межгосударственные, правила и рекомендации по межгосударственной стандартизации. Правила разработки, принятия, применения, обновления и отмены".
Сведения о стандарте
1 РАЗРАБОТАН Федеральным государственным бюджетным учреждением "Всероссийский центр карантина растений" (ФГБУ "ВНИИКР")
2 ВНЕСЕН Федеральным агентством по техническому регулированию и метрологии (Росстандарт)
3 ПРИНЯТ Межгосударственным советом по стандартизации, метрологии и сертификации (протокол от 29 сентября 2015 г. N 80-П)
За принятие проголосовали:
Краткое наименование страны по МК (ИСО 3166) 004-97
Код страны по МК (ИСО 3166) 004-97
Сокращенное наименование национального органа по стандартизации
Армения
AM
Минэкономики Республики Армения
Беларусь
BY
Госстандарт Республики Беларусь
Казахстан
KZ
Госстандарт Республики Казахстан
Киргизия
KG
Кыргызстандарт
Россия
RU
Росстандарт
Таджикистан
TJ
Таджикстандарт
Туркмения
TM
Главгосслужба "Туркменстандартлары"
4 Приказом Федерального агентства по техническому регулированию и метрологии от 23 октября 2015 г. N 1625-ст межгосударственный стандарт ГОСТ 33539-2015 введен в действие в качестве национального стандарта Российской Федерации с 1 января 2017 г.
5 ВВЕДЕН ВПЕРВЫЕ
Информация об изменениях к настоящему стандарту публикуется в ежегодном информационном указателе "Национальные стандарты", а текст изменений и поправок - в ежемесячном информационном указателе "Национальные стандарты". В случае пересмотра (замены) или отмены настоящего стандарта соответствующее уведомление будет опубликовано в ежемесячном информационном указателе "Национальные стандарты". Соответствующая информация, уведомление и тексты размещаются также в информационной системе общего пользования - на официальном сайте Федерального агентства по техническому регулированию и метрологии в сети Интернет (www.gost.ru).
1 Область применения
Настоящий стандарт распространяется на растения картофеля Solanum tuberosum Linnaeus (далее - растения) и устанавливает методы выявления и идентификации (далее - исследование) вируса T картофеля Potato virus T (далее - вирус T картофеля).
Примечание - Общие сведения о вирусе T картофеля приведены в приложении А.
2 Нормативные ссылки
В настоящем стандарте использованы нормативные ссылки на следующие межгосударственные стандарты:
ГОСТ 12.1.004-91 Система стандартов безопасности труда. Пожарная безопасность. Общие требования
ГОСТ 12.1.005-88 Система стандартов безопасности труда. Общие санитарно-гигиенические требования к воздуху рабочей зоны
ГОСТ 12.1.007-76 Система стандартов безопасности труда. Вредные вещества. Классификация и общие требования безопасности
ГОСТ 12.1.019-79 <*> Система стандартов безопасности труда. Электробезопасность. Общие требования и номенклатура видов защиты
--------------------------------
<*> В Российской Федерации действует ГОСТ Р 12.1.019-2009 "Система стандартов безопасности труда. Электробезопасность. Общие требования и номенклатура видов защиты".
ГОСТ 12.4.009-83 Система стандартов безопасности труда. Пожарная техника для защиты объектов. Основные виды. Размещение и обслуживание
ГОСТ 12.4.021-75 Система стандартов безопасности труда. Системы вентиляционные. Общие требования
ГОСТ 61-75 Реактивы. Кислота уксусная. Технические условия
ГОСТ OIML R 76-1-2011 Государственная система обеспечения единства измерений. Весы неавтоматического действия. Часть 1. Метрологические и технические требования. Испытания
ГОСТ 83-79 Реактивы. Натрий углекислый. Технические условия
ГОСТ 1770-74 (ИСО 1042-83, ИСО 4788-80) Посуда мерная лабораторная стеклянная. Цилиндры, мензурки, колбы, пробирки. Общие технические условия
ГОСТ 1942-86 1,2-Дихлорэтан технический. Технические условия
ГОСТ 2156-76 Натрий двууглекислый. Технические условия
ГОСТ 2493-75 Реактивы. Калий фосфорнокислый двузамещенный 3-водный. Технические условия
ГОСТ 3118-77 Реактивы. Кислота соляная. Технические условия
ГОСТ 4172-76 Реактивы. Натрий фосфорнокислый двузамещенный 12-водный. Технические условия
ГОСТ 4198-75 Реактивы. Калий фосфорнокислый однозамещенный. Технические условия
ГОСТ 4233-77 Реактивы. Натрий хлористый. Технические условия
ГОСТ 4234-77 Реактивы. Калий хлористый. Технические условия
ГОСТ 6259-75 Реактивы. Глицерин. Технические условия
ГОСТ 6552-80 Реактивы. Кислота ортофосфорная. Технические условия
ГОСТ 6709-72 Вода дистиллированная. Технические условия
ГОСТ 9147-80 Посуда и оборудование лабораторные фарфоровые. Технические условия
ГОСТ 11086-76 Гипохлорит натрия. Технические условия
ГОСТ 12026-76 Бумага фильтровальная лабораторная. Технические условия
ГОСТ ИСО/МЭК 17025-2009 Общие требования к компетентности испытательных и калибровочных лабораторий
ГОСТ 18300-87 <*> Спирт этиловый ректификованный технический. Технические условия
--------------------------------
<*> В Российской Федерации действует ГОСТ Р 55878-2013 "Спирт этиловый технический гидролизный ректификованный. Технические условия".
ГОСТ 20288-74 Реактивы. Углерод четыреххлористый. Технические условия
ГОСТ 20562-2013 Карантин растений. Термины и определения
ГОСТ 21240-89 Скальпели и ножи медицинские. Общие технические требования и методы испытаний
ГОСТ 21507-2013 Защита растений. Термины и определения
ГОСТ 23493-79 Картофель. Термины и определения
ГОСТ 26678-85 Холодильники и морозильники бытовые электрические компрессионные параметрического ряда. Общие технические условия
ГОСТ 28311-89 Дозаторы медицинские лабораторные. Общие технические требования и методы испытаний
ИС МЕГАНОРМ: примечание.
ГОСТ 29267-91 утратил силу с 1 января 2014 года в связи с введением в действие ГОСТ Р 55329-2012 (Приказ Росстандарта от 29.11.2012 N 1647-ст).
ГОСТ 29267-91 Картофель семенной. Оздоровленный исходный материал. Приемка и методы анализа
Примечание - При пользовании настоящим стандартом целесообразно проверить действие ссылочных стандартов в информационной системе общего пользования - на официальном сайте Федерального агентства по техническому регулированию и метрологии в сети Интернет или по ежегодному информационному указателю "Национальные стандарты", который опубликован по состоянию на 1 января текущего года, и по выпускам ежемесячного информационного указателя "Национальные стандарты" за текущий год. Если ссылочный стандарт заменен (изменен), то при пользовании настоящим стандартом следует руководствоваться заменяющим (измененным) стандартом. Если ссылочный стандарт отменен без замены, то положение, в котором дана ссылка на него, применяется в части, не затрагивающей эту ссылку.
3 Термины, определения и сокращения
3.1 В настоящем стандарте применены термины по ГОСТ 20562, ГОСТ 21507 и ГОСТ 23493, а также следующие термины с соответствующими определениями:
3.1.1 гермоплазма: Коллекция живых растений, семян или вегетативных органов и трансплантатов в культуре in vitro, способных к воспроизводству потомства.
3.1.2 инокулюм (в области карантина растений): Инфицированный материал (живые микроорганизмы), используемый для искусственного заражения.
3.1.3 инокуляция (в области карантина растений): Введение инокулюма в ткани индикаторных растений, а также в питательные среды.
3.1.4 истинные семена: Ботанические семена растений.
3.1.5 линия: Потомство одной меристемы, полученное методом клонального микроразмножения.
3.1.6 макрорастение: Растение, полученное традиционными способами размножения.
3.1.7 меристема [меристематическая ткань]: Ткани растений, состоящие из интенсивно делящихся и сохраняющих физиологическую активность на протяжении всей жизни клеток, обеспечивающих непрерывное нарастание массы растения и предоставляющих материал для образования различных специализированных тканей.
3.1.8 меристемное микрорастение: Миниатюрное растение, полученное из меристематической ткани и культивируемое на искусственной питательной среде.
3.2 В настоящем стандарте применены следующие сокращения:
ДНК - дезоксирибонуклеиновая кислота;
ДТТ - дитиотреитол;
ИФА - иммуноферментный анализ;
кДНК - комплементарная ДНК;
ОРС - открытые рамки считывания;
ОТ - обратная транскрипция;
п. н. - пара нуклеотидов;
ПЦР - полимеразная цепная реакция;
РНК - рибонуклеиновая кислота;
ЭДТА - этилендиаминтетрауксусная кислота.
4 Общие положения
4.1 Для выявления и идентификации вируса T картофеля применяют отборочные и подтверждающие анализы, схема применения которых представлена на рисунке 1.
Рисунок 1 - Схема выявления
и идентификации вируса T картофеля
4.2 В качестве отборочных анализов используют серологические анализы по 8.3 или молекулярные анализы по 8.4.
4.3 Серологические анализы проводят твердофазным ИФА в модификации DAS-ELISA.
4.4 В случае использования в качестве отборочных анализов серологических методов положительный результат проверяют в подтверждающем молекулярном анализе со специфическими праймерами к вирусу T картофеля. Образец считают зараженным вирусом T картофеля при наличии положительных результатов в обоих анализах.
4.5 В случае использования в качестве отборочных анализов молекулярных методов положительный результат проверяют в подтверждающем серологическом анализе. Образец считают зараженным вирусом T картофеля при наличии положительных результатов в обоих анализах.
4.6 В качестве дополнительного подтверждающего анализа используют биологический тест на индикаторных растениях по 8.5.
4.7 При необходимости установления морфологии вирионов, типичных для представителей семейства Flexiviridae, используют метод электронной микроскопии (см. рисунок А.1, приложение А).
4.8 При первичном обнаружении вируса T картофеля рекомендуется провести секвенирование гена белка оболочки для сравнения с сиквенсами изолятов вируса T картофеля в базах данных генетических последовательностей.
4.9 Исходный образец клубней и листьев растений с этикетками, образцы РНК и экстракты сока, полученные из образцов растений, хранят в пробирках при температуре минус 80 °C не менее 12 мес; продукты амплификации ПЦР - при температуре минус 20 °C не менее 12 мес.
5 Общие требования
5.1 Требования безопасности
При выполнении исследования необходимо соблюдать требования техники безопасности при работе с химическими реактивами по ГОСТ 12.1.007.
Исследования проводят в перчатках и лабораторных халатах. При работе с раствором бромистого этидия используют резиновые перчатки.
Помещение, в котором проводят исследования, должно быть оборудовано общей приточно-вытяжной вентиляцией по ГОСТ 12.4.021. Содержание вредных веществ в воздухе рабочей зоны не должно превышать норм, установленных ГОСТ 12.1.005.
При работе с электроустановками электробезопасность должна соответствовать требованиям ГОСТ 12.1.019. Помещение лаборатории должно соответствовать требованиям пожарной безопасности по ГОСТ 12.1.004 и иметь средства пожаротушения по ГОСТ 12.4.009. При работе с УФ-излучением необходимо пользоваться защитным экраном и защитными очками.
Утилизацию зараженного растительного материала проводят автоклавированием в течение 20 мин при температуре от 121 °C до 125 °C.
5.2 Требования к лаборатории
Общие требования к лаборатории - по ГОСТ ИСО/МЭК 17025.
Для исключения ложноположительных результатов исследования и некорректной интерпретации полученных результатов ПЦР-лаборатория должна включать следующий набор рабочих зон:
- приема и регистрации образцов;
- первичной обработки образцов;
- выделения ДНК/РНК;
- проведения ПЦР;
- детекции продуктов амплификации (отсутствует в случае, если детекцию продуктов ПЦР осуществляют по методике ПЦР в режиме реального времени).
5.3 Требования к персоналу
Персонал, участвующий в исследовании, должен владеть методами ИФА и ПЦР и быть обучен технике обращения с лабораторным оборудованием.
6 Средства измерений, аппаратура, реактивы, посуда и материалы
6.1 Для отбора и хранения проб и образцов по 7.2 используют:
- весы по ГОСТ OIML R 76-1 высокого класса точности с пределом допускаемой абсолютной погрешности однократного взвешивания не более +/- 0,0001 г;
- камеру морозильную, способную поддерживать температуру до минус 80 °C по ГОСТ 26678;
- камеру холодильную диапазоном температур от 2 °C до 5 °C по ГОСТ 26678;
- камеру фумигационную;
- воду дистиллированную по ГОСТ 6709;
- дихлорэтан по ГОСТ 1942;
- кислоту гиббереловую;
- натрия гипохлорит (натрий хлорноватистокислый) по ГОСТ 11086;
- спирт этиловый ректификованный технический по ГОСТ 18300;
- среду питательную Мурасиге - Скуга;
- углерод четыреххлористый по ГОСТ 20288;
- хлорамин;
- этиленхлоргидрин;
- колбы мерные вместимостью 1000 см3 по ГОСТ 1770;
- пробирки пластиковые с крышкой вместимостью 50 см3;
- бумагу фильтровальную лабораторную по ГОСТ 12026;
- пакеты из полимеров этилена, герметично закрывающиеся;
- пакеты из полимеров этилена, с отверстиями для доступа воздуха;
- скальпель медицинский по ГОСТ 21240;
- перчатки одноразовые для лабораторных исследований;
- халаты лабораторные.
6.2 Для проведения исследования серологическим методом по 8.3 используют:
- весы по ГОСТ OIML R 76-1 высокого класса точности с пределом допускаемой абсолютной погрешности однократного взвешивания не более +/- 0,0001 г;
- анализатор фотометрический иммуноферментный, диапазоном длин волн от 400 до 800 нм и интерференционным светофильтром длиной волны 405 нм;
- встряхиватель лабораторный термостатируемый для 96-луночных планшетов, орбитального типа движения, диапазоном температур от 18 °C до 40 °C и скоростью вращения в диапазоне от 100 до 1300 об/мин;
- дозаторы восьмиканальные варьируемого объема от 100 до 200 мм3 в комплекте со сменными одноразовыми наконечниками по ГОСТ 28311;
- дозаторы одноканальные варьируемого объема от 10 до 500 мм3 в комплекте со сменными одноразовыми наконечниками по ГОСТ 28311;
- измельчитель лабораторный (гомогенизатор);
- измеритель pH диапазоном измерений от 0 до 14 ед. pH, имеющий минимальную чувствительность 0,1 ед. pH;
- камеру холодильную диапазоном температур от 2 °C до 5 °C по ГОСТ 26678;
- устройство промывочное для 96-луночных планшетов любого типа;
- центрифугу лабораторную для микроцентрифужных пробирок типа Эппендорф вместимостью от 1,5 до 2,0 см3, со скоростью вращения не менее 2000 об/мин, с функцией охлаждения;
- альбумин бычий сывороточный молекулярной массы 69000 г/моль, х.ч.;
- альбумин яичный, х.ч.;
- воду дистиллированную по ГОСТ 6709;
- диэтаноламин;
- калия дигидроортофосфат (калий фосфорнокислый однозамещенный) по ГОСТ 4198;
- калия хлорид (калий хлористый) по ГОСТ 4234;
- кислоту соляную по ГОСТ 3118;
- натрия гидрокарбонат (натрий двууглекислый) по ГОСТ 2156;
- натрия гидрофосфат додекагидрат (натрий фосфорнокислый двузамещенный 12-водный) по ГОСТ 4172;
- натрия карбонат (натрий углекислый) по ГОСТ 83;
- натрия хлорид (натрий хлористый) по ГОСТ 4233;
- поливинилпирролидон;
- полисорбат 20 (твин 20);
- р-нитрофенилфосфат;
- колбы мерные вместимостью 100, 200, 500 и 1000 см3 по ГОСТ 1770;
- контейнеры пластиковые вместимостью 50 см3;
- пробирки конические микроцентрифужные с крышкой типа Эппендорф вместимостью от 1,5 до 2,0 см3;
- ступку фарфоровую с пестиком по ГОСТ 9147;
- тест-системы для проведения твердофазного ИФА вируса T картофеля в модификации DAS-ELISA, включающие в зависимости от изготовителя: планшеты полистироловые 96-луночные в комплекте с крышкой для закрывания или пленкой для заклеивания лунок, контроли положительные и отрицательные, специфические антитела, конъюгаты антител с ферментами-маркерами, буферные растворы и реактивы;
- перчатки одноразовые для лабораторных исследований;
- халаты лабораторные.
6.3 Для проведения исследования молекулярным методом по 8.4 используют:
- весы по ГОСТ OIML R 76-1 высокого класса точности с пределом допускаемой абсолютной погрешности однократного взвешивания не более +/- 0,0001 г;
- амплификатор под микроцентрифужные пробирки типа Эппендорф вместимостью 0,2 и 0,5 см3 со скоростью нагрева/охлаждения активного элемента не менее 1,5 °C/с;
- дозаторы одноканальные варьируемого объема от 10 до 500 мм3 в комплекте со сменными одноразовыми наконечниками по ГОСТ 28311;
- измельчитель лабораторный (гомогенизатор);
- измеритель pH диапазоном измерений от 0 до 14 ед. pH, имеющий минимальную чувствительность 0,1 ед. pH;
- калия хлорид (калий хлористый) по ГОСТ 4234;
- камеру морозильную, способную поддерживать температуру до минус 80 °C по ГОСТ 26678;
- камеру холодильную диапазоном температур от 2 °C до 5 °C по ГОСТ 26678;
- микроцентрифугу-встряхиватель со скоростью вращения до 2000 об/мин;
- прибор для горизонтального электрофореза с комплектом кювет и гребенок;
- ПЦР-бокс или бокс ламинарный;
- ПЦР-детектор диапазоном длин волн от 470 до 580 нм;
- термостат твердотельный для микроцентрифужных пробирок типа Эппендорф, диапазоном температур от 25 °C до 100 °C;
- трансиллюминатор ультрафиолетовый в комплекте с гельдокументирующей системой;
- центрифугу лабораторную для микроцентрифужных пробирок типа Эппендорф вместимостью от 1,5 до 2,0 см3, со скоростью вращения не менее 2000 об/мин, с функцией охлаждения;
- альбумин бычий сывороточный молекулярной массы 69000 г/моль, х.ч.;
- альбумин яичный, х.ч.;
- бромфеноловый голубой (краситель);
- воду дистиллированную по ГОСТ 6709;
- глицерин по ГОСТ 6259;
- калия дигидроортофосфат (калий фосфорнокислый однозамещенный) по ГОСТ 4198;
- кислоту уксусную по ГОСТ 61;
- натрия гидрофосфат додекагидрат (натрий фосфорнокислый двузамещенный 12-водный) по ГОСТ 4172;
- натрия хлорид (натрий хлористый) по ГОСТ 4233;
- набор реагентов для выделения нуклеиновых кислот из растительных образцов;
- набор реагентов для проведения ОТ, включающий из расчета на один образец: 100 ед./мм3 обратной транскриптазы вируса лейкемии мышей (ревертазы MMLV) - 2 мм3 (200 ед.); 5x буферный раствор для синтеза первой цепи кДНК (гидрохлорида Трис молярной концентрации 280 ммоль/дм3, pH 8,7; хлорида калия молярной концентрации 375 ммоль/дм3; хлорида магния молярной концентрации 30 ммоль/дм3) - 4 мм3; ДТТ молярной концентрации 20 ммоль/дм3 - 2 мм3 (40 ммоль/дм3); смесь из четырех дезоксинуклеозидтрифосфатов (dNTP) (по 10 ммоль/дм3 каждого) - 2 мм3 (20 ммоль/дм3); 0,02 ммоль/дм3 праймера Oligo(dT)17 - 0,5 мм3 (0,01 ммоль/дм3); 0,02 ммоль/дм3 праймера Random (dN)10 - 0,5 мм3 (0,01 ммоль/дм3); РНК анализируемого образца - 5 мм3; воду стерильную - до 20 мм3.
Примечание - При использовании наборов реагентов с модифицированной ревертазой MMLV или обратной транскриптазой миелобластоза птиц (ревертаза AMV) состав и концентрацию ингредиентов реакционной смеси корректируют в соответствии с инструкциями изготовителей;
- набор реагентов для проведения ПЦР, включающий из расчета на один образец: 5x мастер-микс, содержащий Smart Taq-полимеразу; смесь из четырех дезоксинуклеозидтрифосфатов (dNTP), хлорида магния и реакционного буферного раствора - 5 мм3; специфические праймеры - по 2 мм3 каждого праймера (по 2 x 10-8 ммоль/дм3); синтезированную кДНК - 4 мм3; воду стерильную - 12 мм3.
Примечание - При использовании наборов реагентов с другими типами Taq-полимеразы состав и концентрацию ингредиентов реакционной смеси корректируют в соответствии с инструкциями изготовителей;
- набор реагентов для проведения электрофореза;
- натрия гидрокарбонат (натрий двууглекислый) по ГОСТ 2156;
- натрия карбонат (натрий углекислый) по ГОСТ 83;
- поливинилпирролидон;
- раствор дезинфицирующий, вызывающий деградацию ДНК;
- трис (оксиметил) аминометан (Трис);
- ЭДТА;
- этидий бромистый, х.ч.;
- колбы мерные вместимостью 100, 500 и 1000 см3 по ГОСТ 1770;
- контейнеры пластиковые, вместимостью 50 см3;
- пробирки конические микроцентрифужные с крышкой типа Эппендорф вместимостью 0,2; 0,5; от 1,5 до 2,0 см3;
- ступку фарфоровую с пестиком по ГОСТ 9147;
- перчатки одноразовые для лабораторных исследований и резиновые;
- пленку лабораторную Парафилм;
- праймеры для выявления вируса T картофеля:
PVT-1 (5'-GAC AAA CGT CGG ACT GAT CTA-3');
PVT-2 (5'-AGA GTG GCT TGG TCC AGT T-3');
PVT-labv-3F (5'-TCA CCT GCA CTT TTT CGG GT-3');
PVT-labv-3R (5'-GAC CTT CTT CGC CTT GCT AGA-3');
- халаты лабораторные.
6.4 Для проведения биологического теста на индикаторных растениях по 8.5 используют:
- весы по ГОСТ OIML R 76-1 высокого класса точности с пределом допускаемой абсолютной погрешности однократного взвешивания не более +/- 0,0001 г;
- измельчитель лабораторный (гомогенизатор);
- измеритель pH диапазоном измерений от 0 до 14 ед. pH, имеющий минимальную чувствительность 0,1 ед. pH;
- камеру климатическую;
- камеру холодильную диапазоном температур от 2 °C до 5 °C по ГОСТ 26678;
- воду дистиллированную по ГОСТ 6709;
- калия дигидрофосфат (калий фосфорнокислый двузамещенный 3-водный) по ГОСТ 2493;
- кислоту ортофосфорную по ГОСТ 6552;
- кремния карбид;
- натрия хлорид (натрий хлористый) по ГОСТ 4233;
- колбы мерные вместимостью 1000 см3 по ГОСТ 1770;
- контейнеры пластиковые вместимостью 50 см3;
- ступку фарфоровую с пестиком по ГОСТ 9147;
- перчатки одноразовые для лабораторных исследований;
- растения индикаторные: марь гигантскую (Chenopodium amaranticolor), марь киноа (Chenopodium quinoa), дурман обыкновенный (Datura stramonium), табак Дебни (Nicotiana debneyi), фасоль обыкновенную (Phaseolus vulgaris) сортов Pinto и The Prince;
- халаты лабораторные;
- шпатель.
6.5 Допускается применение других средств измерений и посуды по метрологическим характеристикам, а также аппаратуры, реактивов и материалов по техническим характеристикам не хуже вышеуказанных.
7 Подготовка к исследованиям
7.1 Приготовление растворов
7.1.1 Приготовление растворов для подготовки образцов
7.1.1.1 Приготовление раствора гибберелловой кислоты
В мерной колбе вместимостью 1000 см3 с 800 см3 дистиллированной воды растворяют 1 г гибберелловой кислоты. Доводят дистиллированной водой до метки и перемешивают.
Раствор гибберелловой кислоты используют немедленно, хранение не допускается.
7.1.1.2 Приготовление 1%-ного раствора гипохлорита натрия
В мерной колбе вместимостью 1000 см3 с 800 см3 дистиллированной воды растворяют 10 г гипохлорита натрия. Доводят дистиллированной водой до метки и перемешивают.
Срок хранения раствора гипохлорита натрия в колбе в холодильной камере при температуре от 2 °C до 5 °C - не более 5 сут.
7.1.2 Приготовление растворов для исследований серологическим методом
7.1.2.1 Приготовление натрий-фосфатного буферного раствора с pH 7,3
В мерной колбе вместимостью 1000 см3 с 800 см3 дистиллированной воды растворяют 8 г хлорида натрия, 0,2 г хлорида калия, 2,9 г гидрофосфат додекагидрата натрия и 0,2 г дигидроортофосфата калия. Доводят дистиллированной водой до метки и перемешивают.
Проверяют pH буферного раствора, который должен быть (7,3 +/- 0,1) ед. pH.
Срок хранения натрий-фосфатного буферного раствора в колбе в холодильной камере при температуре от 2 °C до 5 °C - не более 5 сут.
7.1.2.2 Приготовление промывочного буферного раствора
В мерную колбу вместимостью 1000 см3 наливают 800 см3 натрий-фосфатного буферного раствора по 7.1.2.1 и добавляют 0,5 см3 твина 20. Доводят дистиллированной водой до метки и перемешивают.
Срок хранения промывочного буферного раствора в колбе в холодильной камере при температуре от 2 °C до 5 °C - не более 5 сут.
7.1.2.3 Приготовление экстрагирующего буферного раствора
В мерную колбу вместимостью 500 см3 наливают 400 см3 промывочного буферного раствора по 7.1.2.2, добавляют 10 г поливинилпирролидона и 1 г яичного или бычьего сывороточного альбумина. Доводят дистиллированной водой до метки и перемешивают.
Срок хранения экстрагирующего буферного раствора в колбе в холодильной камере при температуре от 2 °C до 4 °C - не более 2 сут.
7.1.2.4 Приготовление карбонатного буферного раствора с pH 9,6
В мерной колбе вместимостью 1000 см3 с 800 см3 дистиллированной воды растворяют 1,59 г карбоната натрия и 2,93 г гидрокарбоната натрия. Доводят дистиллированной водой до метки и перемешивают.
Проверяют pH буферного раствора, который должен быть (9,6 +/- 0,1) ед. pH.
Срок хранения карбонатного буферного раствора в колбе в холодильной камере при температуре от 2 °C до 5 °C - не более 10 сут.
7.1.2.5 Приготовление 0,5%-ного раствора бычьего сывороточного альбумина
В мерной колбе вместимостью 100 см3 с 99 см3 дистиллированной воды растворяют 0,5 см3 бычьего сывороточного альбумина и перемешивают.
Срок хранения 0,5%-ного раствора бычьего сывороточного альбумина в колбе в холодильной камере при температуре от 2 °C до 5 °C - не более 1 сут.
7.1.2.6 Приготовление буферного раствора для конъюгата
В мерной колбе вместимостью 200 см3 со 100 см3 натрий-фосфатного буферного раствора по 7.1.2.1 растворяют 0,5 г 0,5%-ного раствора бычьего сывороточного альбумина.
Срок хранения буферного раствора для конъюгата в колбе в холодильной камере при температуре от 2 °C до 5 °C - не более 3 сут.
7.1.2.7 Приготовление субстратного буферного раствора с pH 9,8
В мерной колбе вместимостью 1000 см3 с 800 см3 дистиллированной воды растворяют 97 см3 диэтаноламина. Доводят концентрированной соляной кислотой pH до (9,8 +/- 0,1) ед. pH, затем доводят дистиллированной водой до метки и перемешивают.
Срок хранения субстратного буферного раствора в колбе в холодильной камере при температуре от 2 °C до 4 °C - не более 10 сут.
7.1.2.8 Допускается использование готовых буферных растворов в соответствии с инструкциями изготовителей.
7.1.3 Приготовление растворов для исследований молекулярным методом
7.1.3.1 Для проведения исследований вируса T картофеля молекулярным методом используют натрий-фосфатный буферный раствор по 7.1.2.1, промывочный буферный раствор по 7.1.2.2 без добавления твина-20, экстрагирующий буферный раствор по 7.1.2.3, карбонатный буферный раствор по 7.1.2.4, а также следующие буферные растворы.
7.1.3.2 Приготовление буферного раствора 0,5x TAE
В мерной колбе вместимостью 1000 см3 со 100 см3 ЭДТА молярной концентрации 0,5 моль/дм3, pH 8,0, растворяют 242 г Трис и 58 см3 ледяной уксусной кислоты. Доводят дистиллированной водой до метки и перемешивают.
Срок хранения буферного раствора 0,5x TAE в колбе при температуре от 18 °C до 25 °C - не более 7 сут, в холодильной камере при температуре от 2 °C до 5 °C - не более 30 сут.
7.1.3.3 Приготовление загрузочного буферного раствора
В мерной колбе вместимостью 100 см3 с 7 см3 дистиллированной воды растворяют 0,025 г бромфенолового голубого и 3 см3 глицерина.
Загрузочный буферный раствор используют немедленно, хранение не допускается.
7.1.3.4 Приготовление раствора бромистого этидия
В мерной колбе вместимостью 100 см3 со 100 см3 дистиллированной воды растворяют 1 г бромистого этидия.
Срок хранения раствора бромистого этидия в посуде из темного стекла в холодильной камере при температуре от 2 °C до 5 °C - не более 12 мес.
7.1.3.5 Допускается использование готовых буферных растворов в соответствии с инструкциями изготовителей.
7.1.4 Приготовление раствора для биологического теста на индикаторных растениях
7.1.4.1 Приготовление фосфатного буферного раствора молярной концентрации 0,03 моль/дм3, pH 8,5
В мерной колбе вместимостью 1000 см3 с 500 см3 дистиллированной воды растворяют 3,5 г дигидрофосфата калия и 4,5 г хлорида натрия. Доводят pH до 8,5 с помощью смеси равных объемов 10%-ного раствора ортофосфорной кислоты и дистиллированной воды и перемешивают.
Срок хранения фосфатного буферного раствора в колбе в холодильной камере при температуре от 2 °C до 5 °C - не более 10 сут.
7.1.4.2 Допускается использование готового буферного раствора в соответствии с инструкцией изготовителей.
7.2 Отбор и хранение проб и образцов
7.2.1 Правила отбора проб и образцов для серологических и молекулярных анализов
7.2.1.1 Для проведения серологических и молекулярных анализов на выявление вируса T картофеля у растений отбирают образцы молодых, но полностью развитых листьев на верхушке побега и листьев со средней части побега растений длиной около 25 см в период непосредственно перед цветением или во время цветения. Непосредственно для исследования используют терминальный листочек сложного листа растения.
В культуре in vitro образцы листьев отбирают у энергично растущих растений в возрасте от четырех до шести недель и имеющих побеги длиной не менее 5 см.
Мериклоны каждой линии исследуют отдельно.
7.2.1.2 Для проведения серологических и молекулярных анализов на выявление вируса T картофеля у истинных семян растений отбирают от 30 до 50 семян каждого образца, хранившегося по 7.2.4.2, подвергают поверхностной стерилизации с применением этилового спирта концентрацией 70% в течение 10 - 20 с или 1%-ного раствора гипохлорита натрия по 7.1.1.2 в течение 15 мин, и индивидуально высаживают в пластиковые пробирки на питательную среду Мурасиге - Скуга. Затем отбирают не менее 20 сеянцев, развившихся из этих семян, и размножают в культуре in vitro.
7.2.1.3 Отбор проб клубней для серологических и молекулярных анализов проводят по 7.2.3.4 до, во время или после уборки картофеля.
7.2.1.4 После отбора каждой пробы или образца инструменты (скальпель), используемые при отборе, обеззараживают этиловым спиртом или хлорамином.
7.2.1.5 Пробы и образцы помещают в герметично закрывающиеся полиэтиленовые пакеты, в которые вкладывают этикетку с указанием культуры, сорта, класса, фазы развития растения, происхождения материала, идентификационного номера семян, места и даты отбора, а также фамилии специалиста, отобравшего пробу или образец, и направляют для последующей идентификации в соответствии с 8.3 и 8.4.
7.2.1.6 После отбора проб и образцов составляют акт, который подписывают представитель хозяйства и специалист, отобравший пробу или образец.
7.2.2 Правила отбора образцов для биологических тестов
Для проведения биологических тестов на выявление вируса T картофеля отбирают образцы молодых, но полностью развитых листьев растений на верхушке побега и листьев со средней части побега растений длиной около 25 см в период непосредственно перед цветением или во время цветения.
Для исследования одного мериклона возможно объединение листьев пяти растений.
7.2.3 Объем выборки проб и образцов
7.2.3.1 Объем выборки семенного картофеля составляет:
- исходные меристемные микрорастения - исследуют не менее 1% растений от исходной линии, отобранной для клонального микроразмножения in vitro;
- выращивание мини-клубней в условиях вегетационных сооружений - исследуют не менее чем 1% растений, в одну пробу объединяют листья пяти растений;
- первое полевое поколение из мини-клубней (или клоновый материал) - исследуют 200 растений каждого сорта, в одну пробу объединяют листья пяти растений;
- супер-суперэлита - послеуборочное исследование 200 клубней каждого сорта.
7.2.3.2 В посадках элитного картофеля (элиты и суперэлиты) отбор проб и образцов проводят, объединяя в один образец по одному листу с 10 растений и отбирая на каждом сорте не менее 10 сборных образцов.
7.2.3.3 В репродукционных посадках семенного картофеля объем выборки проб в зависимости от площади участка составляет:
- до 5 га - не менее 15 проб;
- от 5 до 10 га - 20 проб;
- от 10 до 15 га - 25 проб;
- более 15 га - дополнительно по две пробы на каждые 5 га свыше 15 га.
7.2.3.4 При отборе проб клубней в поле, двигаясь по диагонали, на каждом участке с 10 растений отбирают по одному клубню. Для каждого сорта клубни отбирают на 20 участках, получая сборный образец из 200 клубней.
ИС МЕГАНОРМ: примечание.
ГОСТ 29267-91 утратил силу с 1 января 2014 года в связи с введением в действие ГОСТ Р 55329-2012 (Приказ Росстандарта от 29.11.2012 N 1647-ст).
При отборе клубней в хранилищах для каждого сорта из насыпи или контейнеров отбирают по 200 клубней, соблюдая требования к объему выборки, изложенные в ГОСТ 29267.
7.2.4 Хранение проб и образцов
7.2.4.1 Перед исследованием допускается хранение образцов листьев в течение не более семи дней при температуре от 3 °C до 5 °C.
Свежие листья перекладывают умеренно увлажненной фильтровальной бумагой, помещают в полиэтиленовые пакеты с отверстиями для доступа воздуха и хранят при температуре от 3 °C до 5 °C.
7.2.4.2 Истинные семена предварительно выдерживают в морозильной камере при температуре минус 20 °C в течение семи дней с целью уничтожения возможных насекомых-вредителей.
7.2.4.3 Отобранные для исследования клубни по 7.2.3.4 хранят в течение 2 мес при температуре от 2 °C до 4 °C, после чего у них заканчивается состояние покоя.
При необходимости сокращения времени хранения клубни хранят не менее одной недели, а труднопрорастающие - не менее двух недель при температуре от 18 °C до 25 °C.
Состояние покоя у клубней прерывают хранением при температуре 4 °C в течение одной - трех недель, а затем при температуре от 18 °C до 25 °C до появления ростков длиной 1 - 2 см.
Также для прерывания покоя у клубней применяют обработку в фумигационных камерах раствором гибберелловой кислоты по 7.1.1.1 или парами риндита (смесь этиленхлоргидрина, дихлорэтана и четыреххлористого углерода в соотношении 7:3:1) и хранение клубней при повышенном содержании углекислого газа.
8 Методы выявления и идентификации вируса T картофеля
8.1 Общие положения
8.1.1 Для растений (микрорастений в культуре in vitro, клубней или истинных семян), импортируемых для создания коллекций гермоплазмы, селекционных и исследовательских целей, необходимо проведение следующих мероприятий:
- высадка материала и культивирование его в непроницаемых для насекомых теплицах или климатических камерах. Растения должны содержаться при температуре от 18 °C до 25 °C и 14-часовом световом дне. При необходимости растения притеняют с целью создания условий для оптимального развития симптомов поражения вирусом T картофеля (см. приложение Б). Ввезенные в культуре in vitro растения после необходимого субкультивирования методом клонального микроразмножения также должны быть высажены в теплицу или климатическую камеру;
- исследование каждого образца (или полученных от него растений) серологическим и молекулярным методами в соответствии с 8.3 и 8.4.
Примечание - Если растения ввезены в виде клубней, то до высадки их глазки могут быть протестированы на наличие вирусов и вироидов, но данное исследование является факультативным и не отменяет последующего исследования растений, полученных от данных клубней или их индексов;
- культивирование растений в течение полного вегетационного цикла с соблюдением условий, исключающих вторичное заражение, и регулярными обследованиями не реже одного раза в неделю на наличие возбудителей болезней.
Каждое растение должно быть подвергнуто двукратному исследованию с использованием различных методов. Для микрорастений первый анализ (DAS-ELISA) проводят в культуре in vitro, второй анализ (биологический тест на индикаторных растениях) - после пересадки растений в теплицы, либо оба анализа проводят после пересадки растений в теплицы. Для макрорастений оба анализа проводят в теплицах.
Примечание - Растения с сероположительной реакцией в теплицу не высаживают.
8.1.2 Ввиду способности вируса T картофеля передаваться с истинными семенами картофеля необходимо обязательное исследование получаемых сеянцев. Полученные микрорастения используют для проведения исследования методом DAS-ELISA, пересадки в теплицу и резервного хранения в культуре in vitro.
После пересадки растений в теплицу в стадии бутонизации проводят их повторное исследование методом биологического теста на индикаторных растениях или ПЦР.
Примечание - В качестве альтернативы культуре in vitro семена высевают в изолированном боксе теплицы в стерильный субстрат. При достижении стадии двух - четырех листьев по 20 сеянцев каждого образца пересаживают в индивидуальные горшки и в стадии бутонизации исследуют методом DAS-ELISA, ПЦР и/или методом биологического теста с индикаторными растениями на наличие вируса T картофеля.
8.1.3 Для получения объективной оценки качества семенного материала и окончательной оценки фитосанитарного состояния партий семян проводят послеуборочное лабораторное определение зараженности клубней вирусом T картофеля.
Исследование проводят в случаях, когда симптомы на листьях, зараженных вирусом T картофеля растений, не всегда проявляются в период вегетации, особенно в случае позднего заражения (в конце вегетации).
Сразу после уборки метод DAS-ELISA позволяет достаточно эффективно выявлять вирус T картофеля в клубнях с вторичной инфекцией (надежнее - в базальной части клубня), менее достоверно - в случае первичной инфекции. Эффективность выявления вируса в клубнях, находящихся в состоянии покоя, значительно ниже. Это объясняется значительным снижением титра вируса, а также его неравномерным распределением по клубню.
Идентификацию вируса T картофеля проводят в пророщенных клубнях с ростками длиной от 1 до 2 см, т.к. проращивание активизирует размножение вируса, и при этом его концентрация возрастает до уровня, выявляемого методом DAS-ELISA.
8.1.4 Наиболее достоверные результаты получают при исследовании растений, выращенных из индексов - вырезанных с помощью скальпеля глазков клубня диаметром 2,5 см. Индексы помещают на 10 - 15 мин в раствор гибберелловой кислоты по 7.1.1.1, после чего подсушивают в течение не менее 72 ч при температуре от 18 °C до 25 °C. При необходимости следует одновременно с замачиванием в растворе гибберелловой кислоты обработать индексы фунгицидом системного действия для предотвращения гибели ростков от ризоктониозной корневой гнили (Rhizoctonia solani J.G. Kuhn).
Индексы высаживают в субстрат (торф, опилки, песок или их смесь) так, чтобы глазок находился сбоку. Сверху насыпают от 1 до 2 см субстрата таким образом, чтобы глазок имел с ним хороший контакт. Необходимо поддерживать высокую влажность субстрата в течение первых двух недель. Индексы культивируют при температуре от 20 °C до 25 °C днем и температуре 18 °C ночью при 16-часовом световом дне. При соблюдении данной технологии растения развиваются из индексов в течение четырех недель. Для исследования используют растения с полностью развитыми листьями.
8.2 Визуальный метод выявления
8.2.1 Сущность метода
Сущность метода заключается в визуальном обследовании листьев растений в период вегетации на наличие симптомов поражения вирусом T картофеля (см. приложение Б).
8.2.2 Проведение обследования
8.2.2.1 На оздоровленном исходном материале (микрорастения, высаженные для получения мини-клубней, первая полевая репродукция из мини-клубней, клоновый материал) проводят осмотр каждого растения. Объем выборки проб и образцов - по 7.2.3.1.
8.2.2.2 В посадках элиты и суперэлиты картофеля проводят визуальный осмотр листьев не менее 1000 растений на каждые 5 га посадок. Для этого осматривают на одном ряду 100 растений подряд в 10 местах при пересечении поля по диагонали. Объем выборки проб и образцов - по 7.2.3.2.
8.2.2.3 В репродукционных посадках семенного картофеля обследование проводят путем осмотра образцов растений по диагонали поля. Пробой считают 20 образцов растений, осматриваемых подряд на одном ряду. Объем выборки проб и образцов - по 7.2.3.3.
В случае обнаружения симптомов поражения вирусом T картофеля на листьях растений (см. рисунок Б.1, приложение Б), проводят отбор образцов по 7.2 для последующей идентификации в соответствии с 8.3 и 8.4.
После завершения обследования составляют акт, который подписывают представитель хозяйства и обследователь.
8.3 Серологический метод выявления и идентификации
8.3.1 Сущность метода
Серологический метод исследования вируса T картофеля представлен твердофазным ИФА в модификации DAS-ELISA.
Сущность метода ИФА заключается в выявлении в образце иммунного комплекса "антиген-антитело" к вирусу T картофеля путем присоединения к одному из компонентов реакции ферментативной метки с последующей ее детекцией в сравнении с положительными и отрицательными контролями.
8.3.2 Подготовка проб
Исследуемый образец растения, отобранный по 7.2.1, массой 1 г гомогенизируют в пластиковом контейнере с 10 см3 экстрагирующего буферного раствора по 7.1.2.3 на гомогенизаторе в течение 2 - 5 мин или с помощью фарфоровой ступки и пестика до получения однородной суспензии и осветляют центрифугированием в течение 5 мин при скорости 2000 об/мин с охлаждением до 5 °C.
8.3.3 Проведение исследования
Твердофазный ИФА в модификации DAS-ELISA на выявление вируса T картофеля проводят с использованием тест-систем и специфических поликлональных антител в соответствии с инструкциями изготовителей.
Готовят рекомендуемое разведение кроличьих поликлональных антител в карбонатном буферном растворе по 7.1.2.4 и вносят по 200 мм3 в каждую лунку планшета, используя дозаторы со сменными одноразовыми наконечниками.
Планшет закрывают и инкубируют в термостатируемом встряхивателе при температуре 37 °C в течение 4 ч или при температуре 4 °C в течение 16 ч и трижды промывают лунки планшета промывочным буферным раствором по 7.1.2.2.
Вносят в каждую лунку планшета по 200 мм3 пробы растительного экстракта, полученной по 8.3.2. Используют по две лунки для каждого образца и для положительного контроля и не менее двух лунок для отрицательного контроля. Лунки маркируют.
Планшет закрывают и инкубируют в холодильной камере при температуре 4 °C в течение 16 ч и трижды промывают лунки планшета промывочным буферным раствором.
Готовят рекомендуемое разведение конъюгата антител в буферном растворе для конъюгата по 7.1.2.6.
Вносят в каждую лунку планшета по 200 мм3 поликлональных антител, конъюгированных с щелочной фосфатазой.
Планшет закрывают и инкубируют в термостатируемом встряхивателе при температуре 37 °C в течение 3 ч и трижды промывают лунки планшета промывочным буферным раствором.
Готовят раствор субстрата для щелочной фосфатазы (1 мг р-нитрофенилфосфата на 1 см3 субстратного буферного раствора по 7.1.2.7) и вносят по 200 мм3 в каждую лунку планшета.
Планшет закрывают и инкубируют при температуре от 18 °C до 25 °C, затем считывают показания на иммуноферментном фотометрическом анализаторе при длине волны 405 нм через 30, 60, 90 и 120 мин.
8.3.4 Обработка результатов
Результат исследования считают отрицательным, если значение абсорбции образца не более двукратного значения абсорбции в отрицательном контроле.
8.4 Молекулярный метод выявления и идентификации
8.4.1 Сущность метода
Сущность молекулярного метода исследования вируса T картофеля заключается в выявлении вируса в образце путем многократного избирательного копирования определенного участка нуклеиновой кислоты при помощи ферментов в искусственных условиях (in vitro) в целях обнаружения чужеродной для образца РНК вируса.
8.4.2 Подготовка к исследованию
8.4.2.1 Для ОТ рекомендуется использовать готовые наборы реагентов (мастер-миксы). Приготовление реакционных смесей осуществляют с помощью микроцентрифуги-встряхивателя в соответствии с инструкциями изготовителей.
8.4.2.2 Для ПЦР рекомендуется использовать готовые наборы реагентов (мастер-миксы). Приготовление реакционных смесей осуществляют с помощью микроцентрифуги-встряхивателя в соответствии с инструкциями изготовителей.
8.4.2.3 Подготовка проб
При проведении ПЦР используют свежие или замороженные (хранящиеся при температуре от минус 20 °C до минус 80 °C) листья.
При проведении ПЦР с ОТ из исследуемого образца растения, отобранного по 7.2.1, проводят выделение РНК с использованием наборов реагентов для выделения нуклеиновых кислот в соответствии с инструкциями изготовителей.
8.4.3 Проведение исследования
8.4.3.1 ПЦР с ОТ с использованием специфических праймеров PVT-1/PVT-2
Реакцию ОТ проводят при термоциклических условиях, указанных в таблице 1.
Таблица 1
Термоциклические условия для проведения реакции ОТ
Первый этап ОТ
Реакция ОТ
Режим ОТ
Вода стерильная
3 мм3
При температуре 70 °C в течение 5 мин.
При температуре 4 °C в течение 5 мин
Праймеры
Random dN10
0,5 мм3
Oligo dT17
0,5 мм3
РНК
5 мм3
Второй этап ОТ
Вода стерильная
1 мм3
При температуре 40 °C в течение 60 мин.
При температуре 70 °C в течение 10 мин
5x буферный раствор для синтеза первой цепи кДНК
4 мм3
dNTPs
2 мм3
ДТТ
2 мм3
Ревертаза MMLV
2 мм3
Примечание - При использовании наборов реагентов с модифицированной ревертазой MMLV или ревертазой AMV термоциклические условия реакции корректируют в соответствии с инструкциями изготовителей.
ПЦР проводят на амплификаторе при термоциклических условиях, указанных в таблице 2.
Таблица 2
Термоциклические условия для ПЦР с праймерами PVT-1/PVT-2
Температура, °C
Время
Число циклов
95
4 мин
1
95
30 с
35
62
30 с
72
1 мин
72
10 мин
1
8.4.3.2 ПЦР с ОТ с использованием специфических праймеров PVT-labv-3F/PVT-labv-3R
Реакцию ОТ проводят при термоциклических условиях, указанных в таблице 1.
ПЦР проводят на амплификаторе при термоциклических условиях, указанных в таблице 3.
Таблица 3
Термоциклические условия для ПЦР
с праймерами PVT-labv-3F/PVT-labv-3R
Температура, °C
Время
Число циклов
95
5 мин
1
95
30 с
35
60
30 с
72
30 с
72
5 мин
1
Анализ результатов ПЦР осуществляют с применением горизонтального электрофореза в 2%-ном агарозном геле. При положительном анализе обнаруживают ампликоны молекулярной массой 330 п. н. для пары праймеров PVT-1/PVT-2 и 278 п. н. для пары праймеров PVT-labv-3F/PVT-labv-3R.
8.4.3.3 Электрофорез продуктов амплификации
При электрофорезе продуктов амплификации готовят 2%-ный агарозный гель в буферном растворе 0,5x TAE по 7.1.3.2. Наносят капли загрузочного буферного раствора по 7.1.3.3 объемом 3 мм3 на пленку Парафилм, добавляют к капле 20 мм3 продукта амплификации и тщательно перемешивают, вносят продукты амплификации, включая положительный и отрицательный контроли, в лунки геля. В первую лунку геля вносят ДНК-маркер с молекулярной массой 100 п. н.
Проводят электрофорез в течение 20 мин при напряжении 120 В (для геля 15 x 10 см) или в течение 40 мин при напряжении 160 В (для геля 15 x 25 см) в буферном растворе 0,5x TAE. Погружают гель в раствор бромистого этидия по 7.1.3.4 на 20 мин. Просматривают гель на ультрафиолетовом трансиллюминаторе.
8.5 Биологический метод идентификации
8.5.1 Сущность метода
Биологический метод идентификации вируса T картофеля представлен тестом на индикаторных растениях.
Сущность теста на индикаторных растениях заключается в приготовлении смеси исследуемого образца растения с фосфатным буферным раствором по 7.1.4.1, инокуляции полученной смесью индикаторных растений с целью последующего обнаружения специфических симптомов заражения вирусом T картофеля.
8.5.2 Подготовка проб
Исследуемый образец растения, отобранный по 7.2.2, массой 1 г гомогенизируют в пластиковом контейнере с 10 см3 с фосфатным буферным раствором по 7.1.2.1 на гомогенизаторе в течение 2 - 5 мин или с помощью фарфоровой ступки и пестика до получения однородной суспензии.
8.5.3 Проведение теста
Подготовленную пробу растительного материала, полученную по 8.5.2, наносят шпателем на поверхность листьев индикаторных растений, предварительно опудренных карбидом кремния.
Для исследования одного образца используют не менее двух молодых (в стадии от трех до шести листьев) энергично растущих растений каждого вида индикаторных растений.
После инокуляции индикаторных растений остатки инокулюма смывают с листьев дистиллированной водой с целью предотвращения появления ожогов.
Примечание - За один день до инокуляции и в течение от одного до двух дней после инокуляции индикаторные растения притеняют, например, используя для этого бумагу.
По одному растению каждого вида индикаторных растений опудривают карбидом кремния, обрабатывают стерильной дистиллированной водой и оставляют неинокулированными в качестве контроля.
Инокулированные индикаторные растения содержат в теплице или климатической камере при температуре от 18 °C до 25 °C в течение трех-четырех недель и осматривают на наличие симптомов вируса T картофеля не менее одного раза в неделю.
Зараженность вирусом T картофеля исследуемых образцов растений идентифицируют по наличию симптомов, представленных в таблице 4.
Таблица 4
Симптомы вируса T картофеля на индикаторных растениях
Наименование растения
Симптомы
Марь гигантская (Chenopodium amaranticolor)
Инокулированные листья обычно без симптомов, иногда развиваются хлоротические повреждения, системные некрозы верхушечных листьев от восьми до 10 дней после инокуляции, последующие отрастающие листья обычно без симптомов, но содержат вирус
Марь киноа (Chenopodium quinoa)
Инокулированные листья без симптомов или с хлоротическими пятнами, системная мозаика при высокой интенсивности освещения, некрозы верхушек побегов при низкой интенсивности освещения
Дурман обыкновенный (Datura stramonium)
Инокулированные листья без симптомов, слабая системная мозаика от восьми до 10 дней после инокуляции
Табак Дебни (Nicotiana debneyi)
Инокулированные листья без симптомов, системная крапчатость и слабые некрозы (см. рисунок Б.2, приложение Б)
Фасоль обыкновенная (Phaseoius vulgaris) сортов Pinto и The Prince
Местные некротические пятна или кольцевая пятнистость, системные некрозы (см. рисунок Б.3, приложение Б)
9 Требования к протоколу исследования
Протокол исследования должен включать следующую информацию:
- латинское наименование идентифицированного вредного организма;
- дату выявления и идентификации вредного организма;
- код или номер образца (для возможности отслеживания);
- природу зараженного материала, в том числе, по возможности, латинское наименование растения-хозяина;
- происхождение (включая географическое местонахождение, если оно известно) зараженного материала и место его задержания или выявления вредного организма;
- описание признаков или симптомов (включая фотографии в соответствующих случаях или указание об их отсутствии);
- методы выявления и идентификации вредного организма, а также результаты, полученные с помощью каждого метода;
- документирование результатов исследований, например фотографии диагностических гелей или распечатка результатов ИФА, на которых основывалось исследование;
- в случае необходимости масштабы заражения (процент зараженных образцов, относительная концентрация вируса);
- наименование лаборатории и, при необходимости, фамилию лица (лиц), ответственного(ых) за исследование и/или выполнившего их исследование;
- комментарии о степени точности идентификации.
Приложение А
(справочное)
ОБЩИЕ СВЕДЕНИЯ О ВИРУСЕ T КАРТОФЕЛЯ
А.1 Общие сведения
Таксономическое положение: Viruses: Flexiviridae: Andesvirus.
Наименование: Potato virus T.
Синонимы: Potato T trichovirus.
Potato T capillovirus.
PVT.
Общепринятое наименование: Virus T de la papa (исп.).
Компьютерный код Байера: PVT000.
Фитосанитарный статус <*>:
--------------------------------
<*> По состоянию на начало 2015 г.
Европейская и Средиземноморская организации по карантину и защите растений (ЕОКЗР) - A1;
Израиль - статус карантинного объекта;
Иордания - статус карантинного объекта;
Казахстан - A1;
Канада - A1;
Новая Зеландия - статус карантинного объекта;
Норвегия - статус карантинного объекта;
Россия - A1;
США - статус карантинного объекта;
Турция - A1.
А.2 Биологические особенности
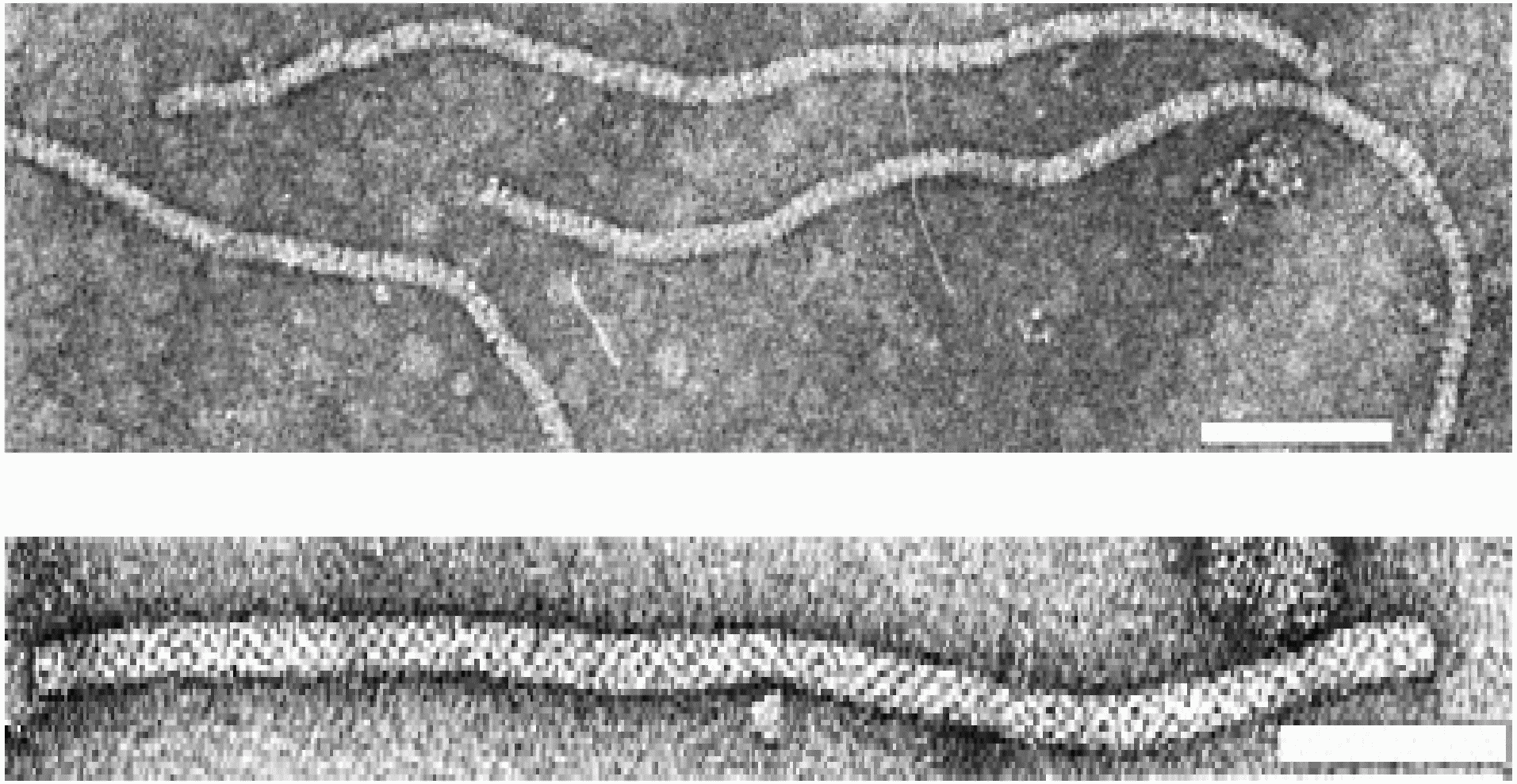
Вирус T картофеля имеет извитые нитевидные частицы около 640 нм в длину и 12 нм в диаметре, которые показывают характерную подструктуру после окрашивания уранил-ацетатом или фосфорнокислым молибденом.
В экстракте сока мари киноа (Chenopodium quinoa) вирус сохраняет инфекционность при температуре 20 °C в течение от двух до четырех дней и инактивируется при нагревании до температуры 65 °C в течение 10 мин, точка конечного разведения - 10-5. Очищенные препараты вируса содержат единственный компонент с коэффициентом седиментации 99 S.
Вирионы (см. рисунок А.1, приложение А) состоят из единственной молекулы однонитевой плюс-смысловой РНК, состоящей из 6539 нуклеотидов, и единственного белка оболочки молекулярной массой 27 кДа. Соотношение РНК и белка в вирионах составляет 95:5.
Рисунок А.1 - Вирионы вируса T картофеля
Последовательность (сиквенс) нуклеотидов одного из участков генома вируса T картофеля (3'-терминуса РНК) был впервые получен в Японии. Затем были получены сиквенс гена РНК-зависимой РНК-полимеразы и сиквенс всего генома вируса T картофеля.
Геномная РНК вируса T картофеля содержит poly(A)-tail на 3'-конце, три частично накладывающиеся друг на друга ОРС, а также нетранслируемые участки на 5'- и 3'-концах, состоящие из 74 и 184 нуклеотидов соответственно. Межгенные участки отсутствуют.
ОРС-1 (нуклеотиды 75-4895) кодирует полипротеин молекулярной массой 184,621 кДа. На ОРС-1 имеются участки, кодирующие ферменты РНК-зависимую РНК-полимеразу, метилтрансферазу (нуклеотиды 72-223), папаин-подобную цистеин-протеазу (нуклеотиды 631-712) и хеликазу (нуклеотиды 792-1028).
ОРС-2 (нуклеотиды 4804-5888) кодирует транспортный белок молекулярной массой 40,455 кДа.
ОРС-3 (нуклеотиды 5714-6355) кодирует структурный белок оболочки молекулярной массой 23,622 кДа.
По строению генома вирус T картофеля существенно отличается от всех вирусов семейства Flexiviridae. По последовательности нуклеотидов вирус T картофеля наиболее близок к витивирусу A винограда (Grapevine A vitivirus), но отличается от последнего структурой генома (витивирус A винограда содержит пять ОРС). В свою очередь, по строению генома вирус T картофеля наиболее близок к триховирусам, но геном его меньшей величины и не содержит четвертой ОРС на 3'-конце, наличие которой характерно для большинства триховирусов.
А.3 Поражаемые растения
Вирус T картофеля поражает растения картофеля и другие растения семейства Solanaceae.
Восприимчивыми к вирусу T картофеля растениями при искусственной инокуляции являются следующие виды: свекла обыкновенная (Beta vulgaris), катарантус розовый (Catharanthus roseus), марь белая (Chenopodium album), марь гигантская (Chenopodium amaranticolor), марь амброзиевидная (Chenopodium ambrosioides), марь вонючая (Chenopodium foetidum), марь многолистная (Chenopodium foliosum), марь стенная (Chenopodium murale), марь киноа (Chenopodium quinoa), циамопсис четырехкрыльниковый (Cyamopsis tetragonoloba), дурман индийский (Datura metel), дурман обыкновенный (Datura stramonium), дурман фиолетовый (Datura tatula), гомфрена шаровидная (Gomphrena globosa), белена черная (Hyoscyamus niger), томат (Lycopersicon chilense), никандра физалисовидная (Nicandra physalodes), табак Бентхама (Nicotiana benthamiana), табак Кливленда (Nicotiana clevelandii), табак Дебни (Nicotiana debneyi), табак клейкий (Nicotiana glutinosa), табак обыкновенный (Nicotiana tabacum), фасоль обыкновенная (Phaseolus vulgaris), физалис флоридский (Physalis floridana), горох посевной (Pisum sativum), паслен клювовидный (Solanum rostratum), картофель (Solanum tuberosum), шпинат огородный (Spinacia oleracea), звездчатка средняя (Stellaria media), бобы овощные (Vicia faba), вигна китайская (Vigna unguiculata), фасоль стручковая длинная (Vigna unguiculata subsp. sesquipedalis).
Невосприимчивы к вирусу T картофеля следующие виды растений: амарант хвостатый (Amaranthus caudatus), сельдерей пахучий (Apium graveolens), капуста полевая (Brassica campestris), огурец обыкновенный (Cucumis sativus), гвоздика турецкая (Dianthus barbatus), ячмень обыкновенный (Hordeum vulgare), латук посевной (Lactuca sativa), томат (Lycopersicon esculentum), петуния садовая (Petunia hybrida), шпинат новозеландский (Tetragonia tetragonioides), клевер луговой (Trifolium pretense), пшеница мягкая (Triticum aestivum), кукуруза (Zea mays).
А.4 Способы переноса и распространения
Вирус T картофеля эффективно переносится с истинными семенами, пыльцой и клубнями картофеля.
Вирус переносится с пыльцой картофеля южноамериканского (Solanum demissum), но не с пыльцой дурмана обыкновенного (Datura stramonium) и никандры физалисовидной (Nicandra physalodes). Вирус T картофеля был выявлен также в семенах зараженных растений мари киноа (Chenopodium quinoa).
Естественные природные переносчики вируса T картофеля неизвестны. Вирус не переносится персиковой тлей (Myzus persicae) и большой картофельной тлей (Macrosiphum euphorbiae).
А.5 Географическое распространение
Регион ЕОКЗР: отсутствует.
Европейский Союз: отсутствует.
Южная Америка: зарегистрирован в Перу и Боливии, но, вероятно, встречается более широко в регионе Анд Южной Америки. Имеются данные о выявлении вируса в Аргентине.
Приложение Б
(справочное)
СИМПТОМЫ ПОРАЖЕНИЯ ВИРУСОМ T КАРТОФЕЛЯ
Б.1 Большинство сортов картофеля вирус T картофеля заражает в бессимптомной форме.
На листьях растений сорта King Edward в результате заражения вирусом T картофеля развивались симптомы слабого некроза жилок и хлоротической пятнистости, а у растений сорта Cara - некрозы верхушек побегов через 12 дней после инокуляции. На растениях сорта Superior вирус вызывал слабую мозаику и некротический рисунок на листьях, а также угнетение роста побегов. На листьях растений сорта Cara, инокулированных перуанским изолятом вируса T картофеля, развивались симптомы сильного системного некроза. Но после инокуляции растений этого сорта боливийским изолятом вируса T картофеля развились лишь симптомы слабой мозаики и посветления жилок листьев.
Рисунок Б.1 - Симптомы поражения
растения картофеля вирусом T
Рисунок Б.2 - Системная крапчатость на листьях
индикаторного растения Nicotiana debneyi,
вызванная инокуляцией вируса T картофеля
Рисунок Б.3 - Местные некрозы на инокулированных листьях
индикаторного растения Phaseolus vulgaris