Главная // Актуальные документы // ГОСТ Р (Государственный стандарт)СПРАВКА
Источник публикации
М.: ФГБУ "РСТ", 2022
Примечание к документу
Текст данного документа приведен с учетом
поправки, введенной в действие с 18.01.2023, опубликованной в "ИУС", N 4, 2023;
поправки, введенной в действие с 05.04.2023, опубликованной в "ИУС", N 7, 2023.
Документ
введен в действие с 01.01.2023.
Название документа
"ГОСТ Р 70145-2022. Национальный стандарт Российской Федерации. Мясо и мясные продукты. Гистологический метод определения животных соединительнотканных белков"
(утв. и введен в действие Приказом Росстандарта от 10.06.2022 N 464-ст)
"ГОСТ Р 70145-2022. Национальный стандарт Российской Федерации. Мясо и мясные продукты. Гистологический метод определения животных соединительнотканных белков"
(утв. и введен в действие Приказом Росстандарта от 10.06.2022 N 464-ст)
Утвержден и введен в действие
Приказом Федерального агентства
по техническому регулированию
и метрологии
от 10 июня 2022 г. N 464-ст
НАЦИОНАЛЬНЫЙ СТАНДАРТ РОССИЙСКОЙ ФЕДЕРАЦИИ
МЯСО И МЯСНЫЕ ПРОДУКТЫ
ГИСТОЛОГИЧЕСКИЙ МЕТОД ОПРЕДЕЛЕНИЯ
ЖИВОТНЫХ СОЕДИНИТЕЛЬНОТКАННЫХ БЕЛКОВ
Meat and meat products. Histological method
of identification of animal protein connective tissue
ГОСТ Р 70145-2022
Дата введения
1 января 2023 года
1 РАЗРАБОТАН Федеральным государственным бюджетным научным учреждением "Федеральный научный центр пищевых систем имени В.М. Горбатова" РАН (ФГБНУ "ФНЦ пищевых систем им. В.М. Горбатова" РАН)
2 ВНЕСЕН Техническим комитетом по стандартизации ТК 226 "Мясо и мясная продукция"
3 УТВЕРЖДЕН И ВВЕДЕН В ДЕЙСТВИЕ Приказом Федерального агентства по техническому регулированию и метрологии от 10 июня 2022 г. N 464-ст
4 ВВЕДЕН ВПЕРВЫЕ
Правила применения настоящего стандарта установлены в статье 26 Федерального закона от 29 июня 2015 г. N 162-ФЗ "О стандартизации в Российской Федерации". Информация об изменениях к настоящему стандарту публикуется в ежегодном (по состоянию на 1 января текущего года) информационном указателе "Национальные стандарты", а официальный текст изменений и поправок - в ежемесячном информационном указателе "Национальные стандарты". В случае пересмотра (замены) или отмены настоящего стандарта соответствующее уведомление будет опубликовано в ближайшем выпуске ежемесячного информационного указателя "Национальные стандарты". Соответствующая информация, уведомление и тексты размещаются также в информационной системе общего пользования - на официальном сайте Федерального агентства по техническому регулированию и метрологии в сети Интернет (www.rst.gov.ru)
Настоящий стандарт распространяется на мясо, мясные и мясосодержащие продукты, в том числе с использованием мяса птицы, и устанавливает гистологический метод определения животных соединительнотканных белков, в том числе говяжьих, свиных и др., или комбинированных (полученных при использовании исходного сырья от двух и более видов убойных животных).
В настоящем стандарте использованы нормативные ссылки на следующие стандарты:
ГОСТ 12.1.007 Система стандартов безопасности труда. Вредные вещества. Классификация и общие требования безопасности
ГОСТ 12.1.018 Система стандартов безопасности труда. Пожаровзрывобезопасность статического электричества. Общие требования
ГОСТ 12.1.019 Система стандартов безопасности труда. Электробезопасность. Общие требования и номенклатура видов защиты
ГОСТ 61 Реактивы. Кислота уксусная. Технические условия
ГОСТ 597 Бумага чертежная. Технические условия
ГОСТ 1770 (ИСО 1042-83, ИСО 4788-80) Посуда мерная лабораторная стеклянная. Цилиндры, мензурки, колбы, пробирки. Общие технические условия
ГОСТ 1625 Формалин технический. Технические условия
ГОСТ 3118 Реактивы. Кислота соляная. Технические условия
ГОСТ 4329 Реактивы. Квасцы алюмокалиевые. Технические условия
ГОСТ 5962 Спирт этиловый ректификованный из пищевого сырья. Технические условия
ГОСТ 6309 Нитки швейные хлопчатобумажные и синтетические. Технические условия
ГОСТ 6672 Стекла покровные для микропрепаратов. Технические условия
ГОСТ 6824 Глицерин дистиллированный. Общие технические условия
ГОСТ 8030 Иглы для шитья вручную. Технические условия
ГОСТ 9284 Стекла предметные для микропрепаратов. Технические условия
ГОСТ 10752 Бумага фотографическая "Унибром". Технические условия
ГОСТ 12026 Бумага фильтровальная лабораторная. Технические условия
ГОСТ 19126 Инструменты медицинские металлические. Общие технические условия
ГОСТ 19496 Мясо и мясные продукты. Метод гистологического исследования
ГОСТ 21239 (ИСО 7741-86) Инструменты хирургические. Ножницы. Общие требования и методы испытаний
ГОСТ 21240 Скальпели и ножи медицинские. Общие технические требования и методы испытаний
ГОСТ 21241 Пинцеты медицинские. Общие технические требования и методы испытаний
ГОСТ 23932 Посуда и оборудование лабораторные стеклянные. Общие технические условия
ГОСТ 25336 Посуда и оборудование лабораторные стеклянные. Типы, основные параметры и размеры
ГОСТ 26678 Холодильники и морозильники бытовые электрические компрессионные параметрического ряда. Общие технические условия
ГОСТ 28498 Термометры жидкостные стеклянные. Общие технические требования. Методы испытаний
ГОСТ 29227 (ИСО 835-1-81) Посуда лабораторная стеклянная. Пипетки градуированные. Часть 1. Общие требования
ГОСТ 31467 Мясо птицы, субпродукты и полуфабрикаты из мяса птицы. Методы отбора проб и подготовка их к испытаниям
ГОСТ 31479-2012 Мясо и мясные продукты. Метод гистологической идентификации состава
ГОСТ 31654 Яйца куриные пищевые. Технические условия
ГОСТ 31796 Мясо и мясные продукты. Ускоренный гистологический метод определения структурных компонентов состава
ГОСТ 33692 Белки животные соединительнотканные. Общие технические условия
ГОСТ OIML R 76-1 Государственная система обеспечения единства измерений. Весы неавтоматического действия. Часть 1. Метрологические и технические требования. Испытания
Примечание - При пользовании настоящим стандартом целесообразно проверить действие ссылочных стандартов в информационной системе общего пользования - на официальном сайте Федерального агентства по техническому регулированию и метрологии в сети Интернет или по (ежегодному) информационному указателю "Национальные стандарты", который опубликован по состоянию на 1 января текущего года, и по выпускам ежемесячного информационного указателя "Национальные стандарты" за текущий год. Если заменен ссылочный стандарт, на который дана недатированная ссылка, то рекомендуется использовать действующую версию этого стандарта с учетом всех внесенных в данную версию изменений. Если заменен ссылочный стандарт, на который дана датированная ссылка, то рекомендуется использовать версию этого стандарта с указанным выше годом утверждения (принятия). Если после утверждения настоящего стандарта в ссылочный стандарт, на который дана датированная ссылка, внесено изменение, затрагивающее положение, на которое дана ссылка, то это положение рекомендуется применять без учета данного изменения. Если ссылочный стандарт отменен без замены, то положение, в котором дана ссылка на него, рекомендуется применять в части, не затрагивающей эту ссылку.
В настоящем стандарте применены термины по
[1],
ГОСТ 33692,
ГОСТ 19496, а также следующий термин с соответствующим определением:
3.1 животный соединительнотканный белок: Сухой белоксодержащий продукт, состоящий из белковых веществ с молекулярной массой свыше 70 кДа, полученных в результате переработки коллагенсодержащего мясного сырья и обладающих способностью связывать воду и образовывать гели, и предназначенный для применения при производстве продуктов питания.
Метод основан на определении в гистологических препаратах соединительнотканного животного белка в различных видах мясного сырья и мясной продукции в соответствии с его микроструктурными особенностями, а также на отличии его микроструктуры от микроструктуры нативной соединительной ткани и соединительной ткани после тепловой обработки.
5 Требования безопасности
При выполнении работ необходимо соблюдать требования техники безопасности при работе с химическими реактивами по
ГОСТ 12.1.007, требования пожарной безопасности по
ГОСТ 12.1.018 и электробезопасности при работе с электроустановками по
ГОСТ 12.1.019, а также требования, изложенные в технической документации на микротом и микроскоп.
6 Требования к квалификации оператора
К проведению гистологических исследований допускаются специалисты, имеющие высшее или среднее специальное медицинское, биологическое или ветеринарное образование, владеющие техникой гистологического исследования.
7 Отбор проб и подготовка образцов
7.2 Пробы сохраняют в холодильнике при температуре от 0 °C до 5 °C до полного завершения испытания.
7.3 Допускается проводить подготовку образцов ускоренным методом по
ГОСТ 31796.
8 Средства измерений, вспомогательное оборудование, посуда, реактивы и материалы
Микротом замораживающий с набором микротомных ножей и принадлежностями для точки микротомных ножей (два камня-арканзаса и аспидный камень, ремень для правки бритв, шлифовальная паста) или станок для точки ножей.
Шкаф вытяжной.
Микроскоп биологический световой в комплекте с осветителем или отдельно, укомплектованный окулярами с 10 - 15-кратным увеличением, объективами с 10 - 40-кратным увеличением.
Система компьютерная анализа изображения с программным обеспечением, адаптированным для проведения морфометрического исследования.
Весы неавтоматического действия специального или высокого класса точности с пределом допускаемой погрешности не более +/- 0,001 г по
ГОСТ OIML R 76-1.
Термостат, позволяющий поддерживать температуру (37 +/- 1) °C.
Баня комбинированная лабораторная, позволяющая поддерживать температуру 100 °C.
Штатив.
Секундомер механический.
Линейки чертежные.
Иглы препаровальные или зубоврачебные по
ГОСТ 19126.
Колбы конические вместимостью 250 см
3 по
ГОСТ 25336.
Стекла предметные для микропрепаратов по
ГОСТ 9284.
Стекла покровные для микропрепаратов по
ГОСТ 6672.
Стекла предметные для микропрепаратов с адгезивным покрытием.
Стаканчики стеклянные с крышками размером 40 x 20 x 85 мм вместимостью 36 см
3 или стаканчики для взвешивания (бюксы) типа СВ 34/12 по
ГОСТ 25336.
Чаши кристаллизационные цилиндрические ЧКЦ-1(2)-100 по
ГОСТ 25336.
Бумага чертежная по
ГОСТ 597 или фотографическая по ГОСТ 10752.
Карандаш простой графитный 2М (2В) - 4М (4В).
Нитки белые хлопчатобумажные швейные по
ГОСТ 6309.
Иглы швейные по ГОСТ 8030.
Гематоксилин.
Фенол, ч.д.а.
Кислота соляная по
ГОСТ 3118, ч.д.а., плотностью 1,19 г/см
3, 1%-ный раствор.
Кислота уксусная ледяная по
ГОСТ 61, х.ч.
Камфора кристаллическая.
Формалин, 10%-ный и 20%-ный растворы по
ГОСТ 1625.
Эозин водорастворимый или спирторастворимый, ч.д.а., 1%-ный раствор.
Допускается применение других средств измерений, вспомогательного оборудования и посуды с метрологическими и техническими характеристиками не хуже, а также материалов и реактивов по качеству не ниже вышеуказанных.
9 Подготовка к исследованию
9.1 Приготовление растворов
9.1.1 Приготовление 1%-ного раствора соляной кислоты
В коническую колбу вместимостью 250 см3 вносят 97,73 см3 дистиллированной воды, добавляют 2,27 см3 концентрированной соляной кислоты плотностью 1,19 г/см3 и перемешивают. Срок хранения раствора при комнатной температуре 6 мес.
9.1.2 Приготовление смеси яичного белка с глицерином и обработка предметных стекол - по
ГОСТ 31479.
Допускается использование предметных стекол с готовым адгезивным покрытием.
9.1.3 Приготовление раствора желатина - по
ГОСТ 31479.
9.1.4 Приготовление раствора глицерин-желатина - по
ГОСТ 19496.
9.1.5 Приготовление гематоксилина Эрлиха - по
ГОСТ 31479.
Допускается использование готового раствора гематоксилина Эрлиха.
9.1.6 Приготовление раствора эозина - по
ГОСТ 31479.
Допускается использование готового 1%-ного раствора эозина.
9.1.7 Приготовление раствора формалина с массовой долей формальдегида 10% - по
ГОСТ 19496.
9.1.8 Приготовление раствора формалина с массовой долей формальдегида 20% - по
ГОСТ 19496.
9.1.9 Приготовление 1%-ного раствора аммиака - по
ГОСТ 19496.
9.2 Приготовление гистологических препаратов
Отобранные образцы перед исследованием подвергают обработке со следующими этапами:
- фиксация обычным или ускоренным методом;
- промывка водой;
- уплотнение образцов;
- изготовление срезов;
- окрашивание срезов (окраска гематоксилин-эозином);
- заключение срезов под покровное стекло.
Допускается приготовление гистологических срезов по
ГОСТ 31796.
9.3 Фиксация образцов
Отобранные образцы с этикетками помещают в раствор формалина с массовой долей формальдегида 10%, взятый в десятикратном объеме к объему фиксируемых образцов, и плотно укупоривают. Время фиксации при температуре (22 +/- 1) °C составляет 24 ч. Понижение температуры фиксации на 10 °C увеличивает продолжительность фиксации в два раза.
Образец, фиксированный в растворе формалина в достаточной степени, должен быть равномерно уплотненным и иметь одинаковый вид как на внешней стороне, так и на свежем срезе.
Фиксированные образцы хранят при температуре (22 +/- 1) °C в плотно закрытой посуде в растворе формалина с массовой долей формальдегида 10%, взятом в пятикратном объеме, в течение не менее 6 мес.
9.4 Промывка образцов
Зафиксированные образцы или их кусочки (обычная или ускоренная фиксация) помещают в колбу или стакан со вставленной стеклянной воронкой, промывают холодной проточной водой в течение 15 мин. Если материал достаточно плотный, срезы изготавливают на замораживающем микротоме сразу же после промывки.
9.5 Уплотнение образцов
Для получения срезов из образцов мясопродуктов высокой рыхлости используют их уплотнение в желатине. Для этого после завершения фиксации из образцов вырезают кусочки размером 15 x 15 x 4 мм и промывают водой. Хорошо промытые кусочки пропитывают 12,5%-ным раствором желатина, взятом в пятикратном объеме, в течение 6 ч, потом 25%-ным раствором желатина в течение 12 ч, взятом в пятикратном объеме, в термостате при температуре 37 °C. Затем кусочки раскладывают в чашки Петри, заливают их свежим 25%-ным раствором желатина и быстро охлаждают в холодильнике при температуре (5 +/- 1) °C. После охлаждения кусочки уплотняют в растворе формалина с массовой долей формальдегида 20%, взятом в восьмикратном объеме, в течение 12 ч. Перед резкой на микротоме кусочки промывают по ГОСТ 31479-2012
(подраздел 8.2).
Срок хранения кусочков в растворе формалина с массовой долей формальдегида 10%, взятом в пятикратном объеме, при комнатной температуре - не менее 6 мес.
9.6 Изготовление срезов
Из фиксированных образцов вырезают кусочки по ГОСТ 31479-2012
(пункт 8.4.1).
С микротомного ножа с помощью тонкой кисточки срезы переносят в кристаллизационную чашку или чашку Петри с водопроводной водой. Под неповрежденный срез быстро подводят предметное стекло, обработанное яичным белком с глицерином. Срез извлекают из воды на середину стекла, удерживая его там препаровальной иглой. Затем срез накрывают сухой фильтровальной бумагой и, прижимая бумагу ребром ладони, наклеивают его на предметное стекло. После того как фильтровальную бумагу убирают, срез должен быть неповрежденным. Допускается переносить срезы с микротомного ножа на предметное стекло с готовым адгезивным покрытием.
9.7 Окрашивание срезов
Окрашивание гематоксилин-эозином (общая окраска) проводят по ГОСТ 31479-2012
(пункт 8.5.1).
9.7.1 Заключение срезов под стекло
10 Проведение исследования и обработка результатов
10.1 Приготовленные гистологические препараты рассматривают под световым микроскопом проходящего света. Сначала используют обзорные план-объективы - 10-кратные или менее, а затем - объективы со средним увеличением - до 40-кратного. Окуляры применяют с 10- или 15-кратным увеличением. Для получения достоверных результатов необходимо исследовать не менее чем по два среза с каждого из трех кусочков, отобранных от каждого образца.
10.2 При проведении идентификации животных соединительнотканных белков в исследуемом препарате следует придерживаться общей последовательности визуальной оценки микроструктуры в соответствии с ГОСТ 31479-2012
(пункт 9.3).
10.3 В ходе визуальной оценки гистологического препарата под световым микроскопом определяют наличие животных соединительнотканных белков. При этом необходимо учитывать особенности микроструктуры соединительнотканных компонентов (нативной соединительной ткани, соединительной ткани после тепловой обработки и животных соединительнотканных белков), степень их измельчения и равномерность распределения по всей массе образца.
10.4 Животные соединительнотканные белки идентифицируют на основании их микроструктурных особенностей (см.
таблицу 1). Характерные микроструктурные особенности приведены на
рисунках 1 -
6.
Примечание - От животных соединительнотканных белков следует отличать камеди гуара и рожкового дерева и каррагинаны.
Камеди гуара и рожкового дерева - клетки с округлым компактным эозинофильным веществом в центре, которое окружено широким неокрашиваемым светлым цитоплазматическим пространством.
Каррагинаны - лилово-сиреневые (базофильные) стеклоподобные структуры.
Таблица 1
Анализируемые показатели микроструктуры образцов
Наименование показателя | Характеристика показателя для |
нативной соединительной ткани | соединительной ткани после тепловой обработки | животных соединительнотканных белков |
Состояние коллагеновых волокон соединительной ткани | Рыхлая соединительная ткань - пучки коллагеновых и эластических волокон разнообразно ориентированы и рыхло расположены. Плотная оформленная соединительная ткань - пучки коллагеновых волокон лежат упорядоченно, параллельно друг другу, структура соединительной ткани отчетливо выражена. Плотная неоформленная соединительная ткань - клеточные элементы расположены между пучками коллагеновых волокон, вытянутой формы, ядра - в виде темных точек | Пучки коллагеновых волокон набухшие, расположены параллельно или разнообразно ориентированы, структура коллагеновых пучков выражена | Пучки коллагеновых волокон набухшие, слившиеся, не имеют упорядоченного расположения или гомогенная, однородная структура с наличием фрагментов эластических волокон |
Тинкториальные свойства структурных элементов соединительной ткани при окраске гематоксилином-эозином | Коллагеновые волокна красные различной интенсивности и оттенка, ядра клеток - темно-синие | Коллагеновые волокна голубого цвета с розоватым оттенком | Структурные элементы или однородная структура светло-голубого или серого цвета, эластические волокна розового цвета. Окраска может отсутствовать |

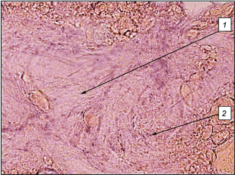
Примечание - Окраска гематоксилин-эозином, объектив с 20-кратным увеличением.
1 - пучки коллагеновых волокон красные различной
интенсивности; 2 - ядра и клеточные элементы
темно-синего цвета
Рисунок 1 - Микроструктура нативной неоформленной плотной
соединительной ткани
Примечание - Окраска гематоксилин-эозином, объектив с 20-кратным увеличением.
1 - пучки коллагеновых волокон красные различной
интенсивности; 2 - ядра и клеточные элементы
темно-синего цвета
Рисунок 2 - Микроструктура нативной плотной оформленной
соединительной ткани
Примечание - Окраска гематоксилин-эозином, объектив с 20-кратным увеличением.
1 - пучки коллагеновых волокон набухшие, голубые с розоватым
оттенком; 2 - ядра и клеточные элементы теневидны
Рисунок 3 - Микроструктура соединительной ткани
после тепловой обработки
Примечание - Окраска гематоксилин-эозином, объектив с 20-кратным увеличением.
1 - набухшие и слившиеся пучки коллагеновых волокон
серого цвета
Рисунок 4 - Микроструктура мясной продукции, содержащей
животный соединительнотканный белок
Примечание - Окраска гематоксилин-эозином, объектив с 20-кратным увеличением.
1 - набухшие и слившиеся пучки коллагеновых волокон
без упорядоченного расположения серого цвета
Рисунок 5 - Микроструктура мясной продукции, содержащей
животный соединительнотканный белок
Примечание - Окраска гематоксилин-эозином, объектив с 20-кратным увеличением.
1 - гомогенная, однородная структура с наличием фрагментов
эластических волокон; окраска отсутствует
Рисунок 6 - Микроструктура мясной продукции, содержащей
животный соединительнотканный белок
10.5 На основании данных, полученных в результате гистологического исследования, выявляют присутствие животных соединительнотканных белков, проводят их качественную идентификацию и делают заключение о соответствии фактического состава исследуемого продукта указанным в действующей документации или в маркировке.
10.6 После проведения исследования препараты с окраской срезов гематоксилином Эрлиха хранят не более одного года.
| | О безопасности мяса и мясной продукции |
УДК 637.5:591.82:006.354 | |
Ключевые слова: мясо, мясные продукты, мясосодержащие продукты, гистологический метод, идентификация, животный соединительнотканный белок |